Investigación
Mi pasión por la microbiología nació allá por el segundo año de mi carrera, células microbianas, células del cuerpo. ¡maquinarias fascinantes de la ingeniería biológica!
Imposible desconocer las bases que sustentan aquello elementos que vemos, tratamos y modificamos.
Cada célula es una entidad con evolución propia, con reacción individual al medio que en muchas ocasiones condiciona esa evolución y compromete el resto.
Cada órgano es un millar de células sabiamente organizadas e interconectados con los otros órganos, y a su vez, exquisita la coexistencia, convivencia y relación entre estas máquinas con virus y bacterias.
¡Qué hacen y qué no hacen los microorganismos para sucumbir la artillería de nuestro cuerpo y poder perdurar en esos tejidos con el único objetivo de "sobrevivir"!
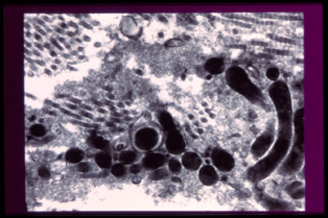
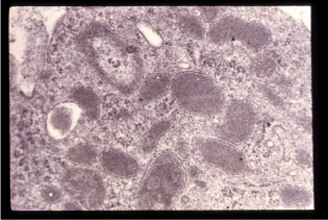
Aquí les dejo las maravillosas fotos de Microscopía Electrónica de Transmisión tomadas en el Conicet, premiadas en el Congreso Iberopanamericano de Periodoncia, en Agosto del 2001, representan las diferencias entre salud y enfermedad de células y bacterias dentro de la encía; y el póster al mejor trabajo premiado en el 2010 en la Asociación Latinoamericana de Osteointegración ALAO.
SALUD
Vasos y sus células
ENFERMEDAD
Vasos y sus células
SALUD
Paquetes de fibras organizadas
ENFERMEDAD
Fibras dispersas con bacterias
SALUD
Bacterias que viven debajo de la encía y dentro de las células
ENFERMEDAD
Bacterias que viven debajo de la encía
TAGS
© 2020 | Miriam Bermolen Medicina Dental | Todos los derechos reservados | Diseño: Estudio Ocana