ESPECIALIDADES: Endodoncia
Es la especialidad que trata al diente por adentro, "al nervio" conocido como pulpa u órgano dentinopulpar. Situaciones de caries, enfermedad de las encías o golpes requieren la necesidad de realizar el tratamiento de conducto, cuyo objetivo es limpiar al diente por adentro de la raíz, con limas manuales, mecánicas y ultrasonido; luego se lo obtura con varios sellantes y gutapercha, material termoplástico que admite diversas técnicas de obturación desde manuales a mecánicas.
Toma de medida de la raíz.
Obturación del conducto radicular.
Toma de medida radicular.
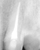
Final obturación de la raíz.
TAGS
© 2020 | Miriam Bermolen Medicina Dental | Todos los derechos reservados | Diseño: Estudio Ocana